ads/auto.txt

Unilateral Definition In Dental

Unilateral Crossbite Functional Shift Youtube

Unilateral Crossbite Functional Shift Youtube

Image May Contain Text Dental Hygiene School Dental Anatomy Dental Hygenist

Image May Contain Text Dental Hygiene School Dental Anatomy Dental Hygenist

Lingual Arch U L Dental Appliance Of Choice Unilateral Arch Length Aparatos De Ortodoncia Ortodoncia Odontologia

Lingual Arch U L Dental Appliance Of Choice Unilateral Arch Length Aparatos De Ortodoncia Ortodoncia Odontologia

Dental Charting Symbols World Of Template Format Throughout Dental Charting Symbols24166 Dental Charting Dental Assistant Study Dental Hygiene Student

Dental Charting Symbols World Of Template Format Throughout Dental Charting Symbols24166 Dental Charting Dental Assistant Study Dental Hygiene Student

Toothfairyiscomingtonightscreeching Wisdom Teeth Mouths Toothwhitening Dentalbridge Dental Hygiene Student Dental Hygiene School Dental Hygenist

Toothfairyiscomingtonightscreeching Wisdom Teeth Mouths Toothwhitening Dentalbridge Dental Hygiene Student Dental Hygiene School Dental Hygenist

Major Dr Pravin Prathip J Malligai Dental Hospital 107 Lake View Road West Mambalam Chennai 600033 2nd Branch G1 C Dental Hospital Dental Academy Dental

Major Dr Pravin Prathip J Malligai Dental Hospital 107 Lake View Road West Mambalam Chennai 600033 2nd Branch G1 C Dental Hospital Dental Academy Dental

Major Dr Pravin Prathip J Malligai Dental Hospital 107 Lake View Road West Mambalam Chennai 600033 2nd Branch G1 C Dental Hospital Dental Academy Dental

A partial or complete set of artificial teeth for either the upper or lower jaw.

Unilateral definition in dental. Relating to occurring on or involving one side only. Also called dental plate. Done or undertaken by one person or party. A unilateral advantage in defense.

Performed or undertaken by only one side. Having or relating to one side. Home medterms medical dictionary a z list unilateral definition medical definition of unilateral. Dental space maintainers fall into four classifications.

Unilateral synonyms unilateral pronunciation unilateral translation english dictionary definition of unilateral. Fixed maintainers are cemented in place until removed by your dentist. Shiel jr md facp facr. Having parts arranged on one side a unilateral raceme.

Often dentures a complete set of removable artificial teeth for both jaws. Removable means the device is removable. And unilateral maintainers preserve a space on just one side of the mouth. Of relating to or affecting one side of a subject.

Published by houghton mifflin company. Of on relating to involving or affecting only one side. Removable fixed bilateral or unilateral. A prosthesis involving only one side of the mouth.

Constituting or relating to a contract or engagement by which an express obligation to do or forbear is imposed on only one party. Undertaken or done by or on behalf of one side party or faction only. Bilateral maintainers preserve spaces on both sides of the mouth.

Customizing The Procedure Code List In The Patient Chart Dental Charting Dental Assistant Study Dental Reviews

Customizing The Procedure Code List In The Patient Chart Dental Charting Dental Assistant Study Dental Reviews

Tremendous Dental Care Baking Soda Dentistrymyworld Dentalcaretipskids Dental Hygiene School Dental Hygenist Dentistry

Tremendous Dental Care Baking Soda Dentistrymyworld Dentalcaretipskids Dental Hygiene School Dental Hygenist Dentistry

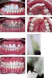
A Cephalometric Intercentre Comparison Of Patients With Unilateral Cleft Lip And Palate At 5 And 10 Years Of Age Ortodoncia Dentistas Odontologia

A Cephalometric Intercentre Comparison Of Patients With Unilateral Cleft Lip And Palate At 5 And 10 Years Of Age Ortodoncia Dentistas Odontologia

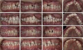
32 Cleft Orthognathic Surgery The Unilateral Cleft Lip And Palate Deformity Pocket Dentistry

32 Cleft Orthognathic Surgery The Unilateral Cleft Lip And Palate Deformity Pocket Dentistry

02 Classification And Indications Of Rpd

02 Classification And Indications Of Rpd

Orthodontic Treatments In Cleft Lip Palate Patients Oral Health Group

Orthodontic Treatments In Cleft Lip Palate Patients Oral Health Group

Pdf Unilateral Primary Or Secondary Retention Of Permanent Teeth And Dental Malformations

Pdf Unilateral Primary Or Secondary Retention Of Permanent Teeth And Dental Malformations

Recovery From Unilateral Oophorectomy Endometriosis Ovaries Thoughts

Recovery From Unilateral Oophorectomy Endometriosis Ovaries Thoughts

Incorrect Swallow Will Cause Facial Speech Swallowing And Breathing Difficulties From Orthotropics Myofunctional Therapy Tongue Thrust Orofacial Myology

Incorrect Swallow Will Cause Facial Speech Swallowing And Breathing Difficulties From Orthotropics Myofunctional Therapy Tongue Thrust Orofacial Myology

Malposition Of Teeth In The Frontal Plane Dental Technology How To Tips

Malposition Of Teeth In The Frontal Plane Dental Technology How To Tips

Slp Echo Photos Speech Therapy Resources Speech And Language Speech Language Therapy

Slp Echo Photos Speech Therapy Resources Speech And Language Speech Language Therapy

Rosh Review School Nurse Office Family Medicine Hearing Loss

Rosh Review School Nurse Office Family Medicine Hearing Loss

Pin On Trigeminal Neuralgia

Pin On Trigeminal Neuralgia

Non Disclosure Agreement Non Disclosure Agreement Disclosure Agreement

Non Disclosure Agreement Non Disclosure Agreement Disclosure Agreement

Source : pinterest.com