ads/auto.txt

Cardiomegaly Definition X Ray

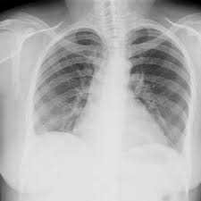
Cardiomegaly Radiology Case Radiopaedia Org

Cardiomegaly Radiology Case Radiopaedia Org

Cardiomegaly Radiology Case Radiopaedia Org

Cardiomegaly Radiology Case Radiopaedia Org

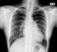
Cardiomegaly Radiology Reference Article Radiopaedia Org

Cardiomegaly Radiology Reference Article Radiopaedia Org

Chest X Ray Cardiomegaly Or No Cardiomegaly Water Bottle Sign Youtube

Chest X Ray Cardiomegaly Or No Cardiomegaly Water Bottle Sign Youtube

Chest X Ray Showing Moderate Cardiomegaly And Prominent Bibasilar Download Scientific Diagram

Chest X Ray Showing Moderate Cardiomegaly And Prominent Bibasilar Download Scientific Diagram

Chest X Ray Shows Cardiomegaly Cardiothoracic Ratio 52 Download Scientific Diagram

Chest X Ray Shows Cardiomegaly Cardiothoracic Ratio 52 Download Scientific Diagram

Chest X Ray Shows Cardiomegaly Cardiothoracic Ratio 52 Download Scientific Diagram

Hover on off image to show hide findings.

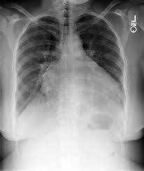
Cardiomegaly definition x ray. An enlarged heart cardiomegaly isn t a disease but rather a sign of another condition. Less severe forms of cardiomegaly are referred to as mild cardiomegaly. Maximal horizontal cardiac diameter. In equivocal cases the cardiothoracic ratio ctr can be easily calculated on a pa chest x ray.

Q fever endocarditis in hiv infected patient. It is not a disease but a sign of another condition. Chest x ray showed cardiomegaly and congestive heart failure. Cardiothoracic ratio is measured on a pa chest x ray and is the ratio of.

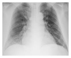
Cardiomegaly is easily visualized on chest x ray. At autopsy cardiomegaly with right atrial and ventricular dilation was identified. Therefore medications are prescribed to such affected individuals and they may have to take them for the rest of their lives. A useful measurement on x ray is the cardio thoracic ratio which is the transverse diameter of the heart compared with that of the thoracic cage these diameters are taken from pa chest x rays using the widest point of the chest.

Maximal horizontal thoracic diameter inner edge of ribs edge of pleura figure 2. X ray presentation of cardiomegaly most people are able to recover normal heart functions but only if the condition is detected early after which it is not possible to repair the damage. An x ray of the chest helps one to detect any kind of enlargement of the heart. Other findings on chest x ray can help to determine the specific chamber that is contributing most to the enlargement of the heart.

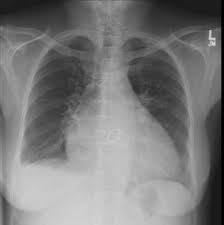
The term cardiomegaly refers to an enlarged heart seen on any imaging test including a chest x ray. A 35 year old woman with a history of arrhythmia and liver failure. Annotated x ray of this same patient. But for the purpose of realism and the proper detection of the problem the doctors advise patients to have a cardiomegaly x ray done.

If the heart is enlarged on an x ray other tests will usually be needed to find the cause. Tap on off image to show hide findings. The ctr measures the width of the cardiac silhouette and the thoracic. X ray images help see the condition of the lungs and heart.

Cardiomegaly is an enlarged heart. In most cases merely eye balling a chest x ray will be sufficient in detecting cardiomegaly as the heart is either clearly normal in size or clearly abnormally enlarged. Other tests are then needed to diagnose the condition that s causing the heart to be enlarged.

Chest X Ray Showing Mild Cardiomegaly With Normal Lung Fields During Download Scientific Diagram

Chest X Ray Showing Mild Cardiomegaly With Normal Lung Fields During Download Scientific Diagram

Chest X Ray Fundamentals

Chest X Ray Fundamentals

Chest X Ray Suggestive Of Cardiomegaly Download Scientific Diagram

Chest X Ray Suggestive Of Cardiomegaly Download Scientific Diagram

Lateral Chest X Ray Cardiomegaly Heart

Lateral Chest X Ray Cardiomegaly Heart

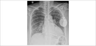
Case 3 2018 A 60 Year Old Female With Chagasic Heart Disease Admitted Due To Heart Failure Decompensation Cachexia And Pulmonary Infection

Case 3 2018 A 60 Year Old Female With Chagasic Heart Disease Admitted Due To Heart Failure Decompensation Cachexia And Pulmonary Infection

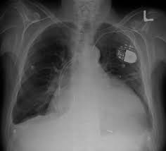
Cardiomegaly With Plethora And Edema Radiology Case Radiopaedia Org

Cardiomegaly With Plethora And Edema Radiology Case Radiopaedia Org

Chest X Ray Shows Cardiomegaly And Pulmonary Vascular Congestion Download Scientific Diagram

Chest X Ray Shows Cardiomegaly And Pulmonary Vascular Congestion Download Scientific Diagram

Thorax X Ray Showing Cardiomegaly With A Cardiothoracic Index Of 0 55 Download Scientific Diagram

Thorax X Ray Showing Cardiomegaly With A Cardiothoracic Index Of 0 55 Download Scientific Diagram

Initial Chest This Initial Chest X Ray Shows An Apparent Cardiomegaly Download Scientific Diagram

Initial Chest This Initial Chest X Ray Shows An Apparent Cardiomegaly Download Scientific Diagram

Pdf Analysis Of Radiograph And Detection Of Cardiomegaly

Pdf Analysis Of Radiograph And Detection Of Cardiomegaly

Cxr New

Cxr New

Chestx Ray8 Hospital Scale Chest X Ray Database And Benchmarks On Weakly Supervised Classification And Localization Of Common Thorax Diseases Arxiv Vanity

Chestx Ray8 Hospital Scale Chest X Ray Database And Benchmarks On Weakly Supervised Classification And Localization Of Common Thorax Diseases Arxiv Vanity

Chest X Ray Interpretation A Structured Approach Radiology Osce

Chest X Ray Interpretation A Structured Approach Radiology Osce

Mediastinal Size Chest X Ray Medschool

Mediastinal Size Chest X Ray Medschool

Source : pinterest.com