ads/auto.txt

Chest X Ray Hyperinflation Definition

Lung Hyperinflation Radiology Reference Article Radiopaedia Org

Lung Hyperinflation Radiology Reference Article Radiopaedia Org

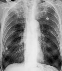
Hyperinflated Lungs Radiology Case Radiopaedia Org

Hyperinflated Lungs Radiology Case Radiopaedia Org

Chronic Obstructive Lung Disease Copd Emphysema

Chronic Obstructive Lung Disease Copd Emphysema

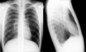
Chest X Ray Interpretation A Structured Approach Radiology Osce

Chest X Ray Interpretation A Structured Approach Radiology Osce

Normal Chest X Ray With Diaphragmatic Slips When The Lungs Are Hyperexpanded It Is Important Not To Confuse Blunting Of A Costophre Radiology X Ray Vision Eye

Normal Chest X Ray With Diaphragmatic Slips When The Lungs Are Hyperexpanded It Is Important Not To Confuse Blunting Of A Costophre Radiology X Ray Vision Eye

Pin On Medical Radiography Education

Pin On Medical Radiography Education

Pin On Medical Radiography Education

Hyperinflated lungs can be identified on a chest x ray as well as a chest computed tomography ct scan.

Chest x ray hyperinflation definition. Narrowing of the transverse cardiac diameter felson s principles of chest roentgenology by lawrence goodman states that when the right hemidiaphragm lies below the 10th posterior rib it is diagnosed as hyperinflation. Chest x ray definition a chest x ray is a procedure used to evaluate organs and structures within the chest for symptoms of disease. Airways difficult to see hyperinflation bilateral 9 posterior ribs reduced vascular markings flat diaphragms small heart unilateral 9 posterior ribs reduced vascular markings flat hemi diaphragm herniation of lung. In some cases however the lungs may appear hyperinflated on a chest x ray for reasons that have nothing to do with lung function.

It happens when you can t exhale or push out all of the air that s in your lungs the air gets trapped and takes up. If it isn t clear what s causing the hyperinflation your doctor might recommend additional testing such as a computerized tomography ct of the chest and pulmonary function tests. Increases heart size 3. Hyperinflated lungs are present in many chronic chest conditions in particular copd and asthma.

A chest x ray is the most common tool used to diagnose hyperinflation of the lungs. Chest x rays include views of the lungs heart small portions of the gastrointestinal tract thyroid gland and the bones of the chest area. Small lung volumes 2. More than 6 anterior or 10 p.

In some cases lungs can appear hyperinflated on x rays for reasons unrelated to lung function. Enlargement of retrosternal space on lateral chest x ray 5. The radiologist will likely take images both during inspiration and expiration. Lung hyperinflation is a common feature of patients with chronic obstructive pulmonary disease copd it is also linked to aging and other chronic diseases that cause airflow obstruction.

X rays are a form of radiation that can penetrate the body and produce an image. This may be evidenced by. Hyperlucent lungs less bronchovascular markings per cm2 c. Often however the condition is detected incidentally meaning that lung hyperinflation was noticed on an imaging test done for another reason.

Chest x ray in expiration 1.

Chest Radiology Key

Chest Radiology Key

Imaging The Chest The Chest Radiograph Radiology Key

Imaging The Chest The Chest Radiograph Radiology Key

How To Read Chest X Rays International Emergency Medicine Education Project

How To Read Chest X Rays International Emergency Medicine Education Project

Chest X Ray Interpretation Medschool

Chest X Ray Interpretation Medschool

How To Interpret A Chest X Ray Lesson 9 Atelectasis Lines Tubes Devices And Surgeries Youtube

How To Interpret A Chest X Ray Lesson 9 Atelectasis Lines Tubes Devices And Surgeries Youtube

Chest X Ray Fundamentals

Chest X Ray Fundamentals

Emphysema Undergraduate Diagnostic Imaging Fundamentals

Emphysema Undergraduate Diagnostic Imaging Fundamentals

Chest X Ray Chest Radiography Nurse Study Guide Nursing Study Guide Nursing Study Radiography

Chest X Ray Chest Radiography Nurse Study Guide Nursing Study Guide Nursing Study Radiography

Miliary Tuberculosis Wikipedia

Miliary Tuberculosis Wikipedia

Chest X Ray Interpretation In 7 Easy Steps In 2020 X Ray Chest Interpretation

Chest X Ray Interpretation In 7 Easy Steps In 2020 X Ray Chest Interpretation

Lobar Lung Collapse Radiology Reference Article Radiopaedia Org

Lobar Lung Collapse Radiology Reference Article Radiopaedia Org

Chest X Rays Physiopedia

Chest X Rays Physiopedia

Chest X Ray Reasons For Procedure Normal And Abnormal Results

Chest X Ray Reasons For Procedure Normal And Abnormal Results

Ecg In Chronic Obstructive Pulmonary Disease Litfl

Ecg In Chronic Obstructive Pulmonary Disease Litfl

Source : pinterest.com